TOTAL DİZ PROTEZİ
Genellikle orta yaş ve üzerinde iseniz, yürüyüş, merdiven inip çıkma, çömelme gibi basit günlük aktiviteleri yapmak bile sizin için zor ve ağrılı oluyorsa bir dizinizde veya her ikisinde birden ciddi kıkırdak hasarı yani “Artrit” gelişmiş olabilir. Ancak aşırı aktiviteler sonrası olan ağrı zamanla daha kısa süreli hareketlerden sonra bile ortaya çıkabilir. İlaç tedavisi, egzersiz, baston gibi cerrahi dışı tedavilerle yakınmalarınız geçmiyorsa artık eklem değiştirme yani “total diz protezi” ameliyatı zamanınız gelmiş olabilir.
Total Diz Protezi ameliyatı hastalar açısından güvenli, etkili, olmaya değer bir cerrahi girişimdir. Böylece ameliyattan önceki ağrılarınız geçer, bacağınızın şekli düzelir ve daha önce yapmakta zorlandığınız günlük aktivitelerinizi tekrar yapmaya başlarsınız.
Modern anlamda 1968 yılından beri uygulanan Total Diz Protezi ameliyatları günümüzde en ileri malzeme ve cerrahi tekniğe ulaşmış ve tüm dünyada yaygın ve başarılı uygulanmaktadır.
Hastalık Neden Oluşmakta?
Orta yaş ve üzerindeki diz ağrılarının en sık görülen nedeni “Artrit” halk arasındaki deyişi ile “Kireçlenme”dir. Artritin pek çok nedeni olup bunların arasında en yaygın görülenleri; Osteoartrit, Romatoid Artrit ve Travma Sonrası Artrit dir. Romatoid Artrit ve Posttravmatik Artrit genellikle gençlerde olurken Osteoartrit daha çok orta yaş üzeri kişilerde ve sıklıkla bayanlarda karşımıza çıkan bir hastalıktır. Eklem yüzlerini kaplayan ve yastık görevi yapan kıkırdağın yaş, genetik, yanlış kullanma gibi nedenlerden dolayı yumuşayarak zamanla kaybolması ile seyreden zaman içinde kemikte içe yada dışa eğilme şeklinde deformitelerede neden olabilen bir kıkırdak hastalığıdır.
Tanı Nasıl Konulur?
Öykü; Ağrı ve deformitenizin süresi, şekli, şiddeti, diğer tıbbi rahatsızlıklarınız sorgulanacaktır.
Fizik Muayene; Eklemlerinizin hareketleri, stabilitesi, ağrılı noktaları, şekil bozuklukları, açısal bozuklukları ve genel fizik muayeneniz yapılacaktır.
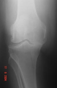
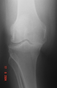
Radyoloji; Ayakta basarak çekilen grafiler, gerekirse MRI görüntüleriniz, kemik yapınız ve yumuşak dokularınız hakkında bilgi verecektir.
Laboratuvar; Ameliyatınızın güvenli bir şekilde yapılabilmesi, anestezi ve ameliyat sonrası takibiniz için genel sağlık durumunuz hakkında bilgilenilmesi sağlanacaktır.
Ameliyat Gerekli mi?
Günlük hareketlerinizi kısıtlayan ağrı ve eklem hareket kısıtlılığı,
Merdiven inip çıkmakta zorluk, çömelememek veya çömeldiği yerden kalkamamak, ağrısız yol yürüyememek, gece ağrı ile uyanmak
İstirahat sırasında bile orta veya hafif ağrı duymak,
İstirahat ve ilaçlarla geçmeyen kronik diz şişliği,
Dizde içe, dışa veya öne-arkaya doğru şekil bozukluğu, deformite,
Kesin yaş sınırlaması olmamasına karşın genellikle “Orta yaş ve üzerinde” olmanız.
Ameliyatın Aşamaları Nelerdir?
Ameliyattan önce laboratuvar, EKG, Akciğer Grafisi, İlgili muayene, tetkikler ve gerekli konsültasyonlar yapılacaktır,
Anestezi hekimleri tarafından sizin için en uygun olan anestezi metodu size de bilgi verilerek seçilecektir. Epidural, Spinal, Kombine, Bölgesel Blok veya Genel Anestezi tekniklerinden biri veya birlikte uygulanacaktır.
Damarsal sorunlar dışında genellikle ameliyat, kansız çalışma ortamı sağlamak için turnike sarılarak yapılacaktır.
Ameliyat yaklaşık 1-2 saat sürecektir.
Ameliyatta kıkırdağın ve kemiğin hasarlı kısımları çıkartılacak, bacaktaki deformasyon düzeltilecek, yumuşak doku ve ligamentler dengelenecek, çıkartılmış olan kemik yüzeylere kemik çimentosu yardımı ile metal ve polietilen (plastik ara yüzey) implantlar yerleştirilecektir. Daha sonra yumuşak dokular ve cilt dikilecek, eklemde biriken sıvı ve kanı boşaltmak için konulan dren bir gün sonra çıkartılacaktır.
Ameliyattan sonra ağrı duymamanız için Anestezi Hekimleri tarafından PCA denilen otomatik ağrı kesici ilaç veren makine bağlanacak ve gereken ağrı kesici önlemler alınacaktır.
Ameliyat Sonrası Ne Olacak?
Ameliyattan bir süre sonra kendinize gelince odanıza alınacaksınız. Kan sulandırıcı , Antibiyotik, Ağrı Kesici ve gereken diğer ilaçlarınız başlanılacaktır. Ameliyattan yaklaşık 7-8 saat sonra ayağa kaldırılacak, yürüteç yardımı ile tam ağırlık vererek yürütüleceksiniz. Genellikle bir gün sonra Fizik Tedavi programı başlanılacak, iki koltuk değneği ile yürüme ve tuvalete oturma öğretilecektir. Ameliyattan sonra üçüncü gün merdiven inip çıkma eğitimi verilecek, üç veya dört gece hastanede kaldıktan sonra herhangi bir genel sağlık sorununuz yoksa taburcu edileceksiniz.
Ameliyattan sonra gerekli pansumanlar ve kan sulandırıcı ilaçlarınız 2-3 hafta devam edecek ve yaklaşık 3 hafta koltuk değneği kullanacaksınız.
Dizdeki yumuşak dokular tam iyileşene kadar yaklaşık 3 – 6 ay size öğretilen ev egzersizlerine devam etmeniz istenilecektir.
Ameliyat Sonrası Nelere Dikkat Edilmeli?
Emboli Belirtileri; Baldırda artan ağrı ve şişlik, dizin alt tarafında kızarıklık, hassasiyet,nefes almakta zorluk, ani göğüs ağrısı, ağrılı öksürük.
Enfeksiyon Belirtileri; Yüksek ateş, titreme, diz çevresinde hassasiyet-şişlik-kızarıklık, yaradan sızıntı, aktivite ve istirahat sırasında artan diz ağrısı
Düşme ve Travmalardan Korunmak,
Cerrahi ve Diş ile ilgili girişimlerden önce koruyucu antibiyotik kullanılmalı,
Yılda bir ortopedik muayene ve kontrol önerilir,
Ağır işlerde çalışmamanız, ağır spor yapmamanız önerilir,
Literatür çalışmaları yapılan Total Diz Protezi ameliyatlarının %90’ının 15 yıldan fazla dayandığını göstermektedir.
Ameliyatın Olası Komplikasyonları Nelerdir?
Enfeksiyon: Vücutta var olan enfeksiyon odağı genellikle ameliyattan önceki tetkiklerde yakalanabilir. Bu durumda ameliyattan önce enfeksiyonun tedavi edilmesi gerekir. Ameliyat sırasında enfeksiyon alınma riskini en aza indirmek için uygun koşullarda ameliyathanelerde ameliyat gerçekleştirilmeli, ekibin ve aletlerin sterilitesine çok özen gösterilmelidir. Ameliyattan hemen önce koruyucu antibiyotik başlanılarak belli bir süre devam edilecektir. Geç enfeksiyon denilen durumda ise, ameliyattan belli bir süre sonra vücutta bir başka yerdeki enfeksiyon kan yolu ile gelerek ameliyat bölgesini tutmaktadır. Zaman geçtikçe geç enfeksiyon riski azalsa da herhangi bir enfeksiyon durumunda ilgili hekim tarafından gerekli enfeksiyon koruyucu önlemler alınmalıdır. Minör enfeksiyonlar antibiyotik ile tedavi edilebilirken, ciddi enfeksiyonlarda yeni ameliyatlar hatta protezin çıkartılması bile gerekebilir.
Emboli: Bacak damarlarında toplar damarlarda kan pıhtısı oluşması total diz protezi ameliyatlarının en ciddi komplikasyonlarındandır. Akciğer veya beyne giderse hayati sorunlara neden olabilir. Bu nedenle ameliyattan sonra varis çorapları giydirilecek, erken hareket ettirilecek ve kan sulandırıcı ilaçlar başlanılacaktır.
Kalp Krizi, İnme (Felç), daha nadir görülen problemlerdir.
Malzemeye bağlı problemler; Her ne kadar teknoloji çok hızlı ilerlese de yıllar içinde kullanılan malzemede aşınma ve yıpranma gelişecektir.
Ameliyattan önceki hareket sınırınız ameliyat sonrası hareket genişliğiniz için belirleyici olmakla birlikte genellikle 100 – 130 derece arası bükebilmeniz mümkün olacaktır.
Devam Eden Ağrı; Çok nadir bir hasta grubunda karşılaşılan bu durum genellikle hastanın ameliyattan sonrası için aşırı beklentileri ile ilgidir.
Damar ve Sinir Yaralanması; Çok nadirde olsa karşılaşılabilecek komplikasyonlardandır.
Kemik Kırığı; Çok nadir görülen bu komplikasyonun nedeni genellikle hastadaki osteoporozdur.










